Tẩy trắng răng
Tẩy trắng răng là gì?
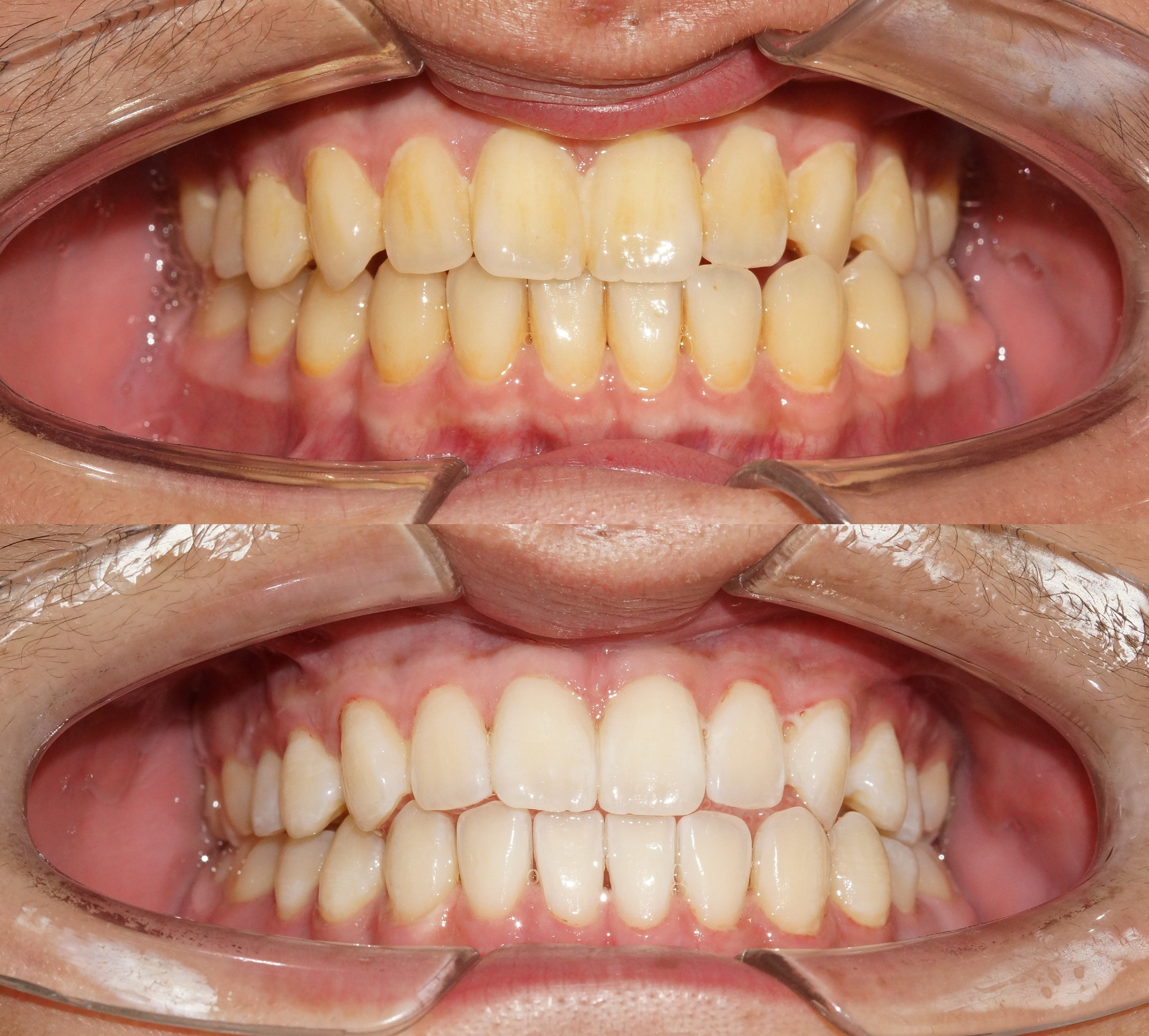
Tẩy trắng răng là phương pháp cải thiện màu sắc răng bằng cách sử dụng hoạt chất làm trắng kết hợp với ánh sáng hoặc laser để phá vỡ các chuỗi phân tử gây xỉn màu trên bề mặt và sâu trong men răng. Khác với các sản phẩm làm trắng tại nhà như kem đánh răng hay miếng dán chỉ tác động bên ngoài, tẩy trắng răng tại nha khoa mang lại hiệu quả nhanh chóng, trắng sáng rõ rệt chỉ sau một lần thực hiện, đồng thời vẫn đảm bảo an toàn cho mô nướu và men răng khi được thực hiện đúng kỹ thuật.

Những trường hợp nên tẩy trắng răng
Tẩy trắng răng phù hợp với những người gặp tình trạng:
- Răng ố vàng do thực phẩm như cà phê, trà, rượu vang…
- Răng xỉn màu do hút thuốc lá
- Răng ngả màu theo tuổi tác
- Răng xỉn màu do vệ sinh kém
Tuy nhiên, không nên tẩy trắng nếu răng bạn bị sâu lớn, viêm nướu, phụ nữ mang thai hoặc đang cho con bú, hoặc răng nhiễm màu nặng do kháng sinh Tetracycline – những trường hợp này bác sĩ có thể tư vấn dán sứ veneer hoặc bọc sứ thay thế.

Các phương pháp tẩy trắng răng phổ biến
Hiện nay có hai phương pháp chính:
1. Tẩy trắng răng tại phòng nha (office bleaching)
Sử dụng thuốc tẩy nồng độ cao kết hợp đèn laser hoặc plasma giúp răng trắng sáng nhanh chỉ sau 30 – 45 phút. Phù hợp với người muốn thấy kết quả ngay lập tức và đảm bảo an toàn tuyệt đối dưới sự giám sát của bác sĩ.
2. Tẩy trắng răng tại nhà (home bleaching)
Bác sĩ sẽ lấy dấu hàm và thiết kế máng tẩy, hướng dẫn cách sử dụng thuốc tẩy tại nhà trong khoảng 5 – 7 ngày. Phương pháp này phù hợp với người muốn tiết kiệm chi phí và tự chủ thời gian.
Trong nhiều trường hợp, bác sĩ sẽ kết hợp cả hai phương pháp để đạt hiệu quả lâu dài hơn.
Tẩy trắng răng có an toàn không? Có gây ê buốt không?
Tẩy trắng răng là phương pháp không xâm lấn, chỉ tác động lên men răng mà không ảnh hưởng đến cấu trúc răng. Tuy nhiên, cảm giác ê buốt nhẹ có thể xuất hiện trong và sau quá trình tẩy – đây là phản ứng hoàn toàn bình thường và sẽ biến mất sau 1 – 2 ngày.
Để hạn chế ê buốt, bác sĩ sẽ:
- Kiểm tra kỹ tình trạng răng trước khi tẩy
- Bôi thuốc cách ly nướu để tránh kích ứng
- Sử dụng thuốc tẩy chất lượng cao, có bổ sung thành phần chống ê buốt

Tẩy trắng răng giữ được bao lâu?
Hiệu quả tẩy trắng có thể duy trì từ 1 – 3 năm, tùy vào chế độ ăn uống và cách chăm sóc răng miệng. Nếu bạn hạn chế thực phẩm sậm màu, vệ sinh tốt và tái khám định kỳ, màu răng có thể duy trì lâu hơn mức trung bình.
Quy trình tẩy trắng răng tại Nha Khoa Sài Gòn – Dr Khánh
Tại Nha Khoa Sài Gòn – Dr Khánh, tẩy trắng răng được thực hiện theo quy trình:
- Kiểm tra và đánh giá màu răng hiện tại
- Vệ sinh răng miệng và xử lý các vấn đề như cao răng, sâu răng nếu có
- Cách ly nướu – bảo vệ mô mềm
- Bôi thuốc tẩy và kích hoạt bằng đèn laser
- So sánh màu răng sau tẩy và hướng dẫn chăm sóc sau điều trị
Mỗi khách hàng sẽ được lên màu theo mong muốn: trắng tự nhiên – trắng sáng bật tone – hoặc trắng ngọc trai.

Kết luận – Có nên tẩy trắng răng không?
Nếu bạn đang tự ti vì hàm răng xỉn màu, ngại cười khi giao tiếp hoặc chuẩn bị cho các dịp quan trọng như chụp hình, cưới hỏi, phỏng vấn, tẩy trắng răng chính là giải pháp nhanh nhất – tiết kiệm nhất để bạn tự tin hơn chỉ sau 1 buổi.
📞 Để được thăm khám và tư vấn miễn phí, hãy liên hệ Nha Khoa Sài Gòn – Dr Khánh qua số hotline: 0838 478 478
Chỉ cần bạn gửi hình ảnh răng hiện tại, bác sĩ sẽ kiểm tra trước và dự đoán màu sau tẩy cho bạn ngay!